+39 0571 508853 info@filippomarianelli.it

La protesi giusta
per la tua bocca

Protesi completa
su impianti all on six e all on four

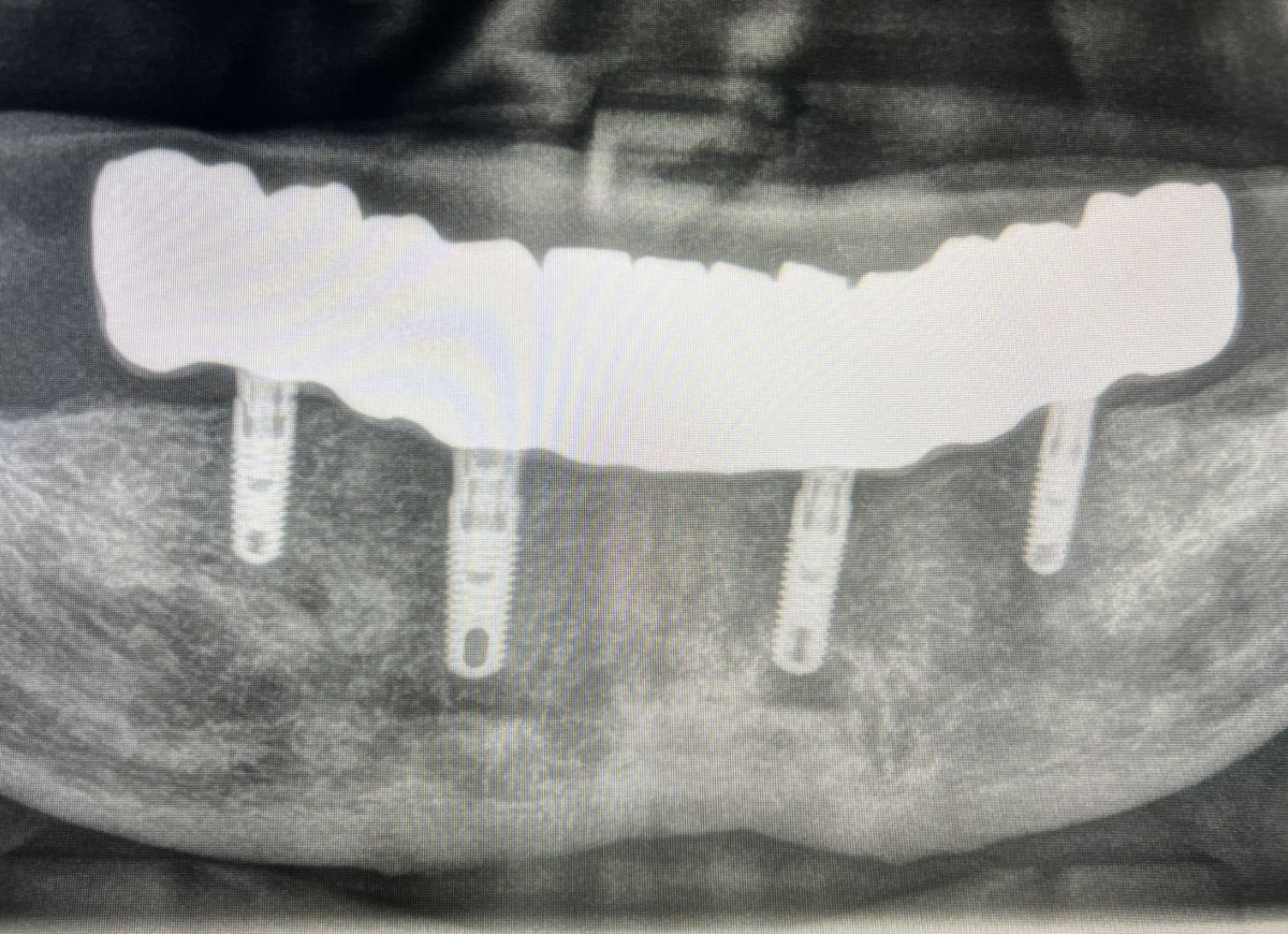
Il dottor Filippo Marianelli e la sua equipe eseguono interventi di implantologia di alto livello grazie ad una tecnica all’avanguardia come la “All on Six” e la “All on Four”.

La tecnica si avvale di 4 o 6 impianti dentali inseriti nell’arcata superiore o inferiore che fungono da sostegno ad una protesi fissa.
Prevede tempi di trattamento molto brevi e garantisce il miglior rapporto tra la minima invasività e il massimo risultato funzionale ed estetico possibile.

L’implantologia All on Six e All on Four nascono per ovviare alla scelta obbligata della dentiera e finalmente poter contare su denti fissi, che garantiscano stabilità e comfort a lungo nel tempo. Durante questo intervento, lo specialista avviterà le protesi direttamente sugli impianti osteointegrati, inseriti sull’osso residuo.

Durante un primo incontro, il dottor Filippo Marianelli valuterà la situazione e la migliore soluzione possibile basandosi su un’accurata analisi del caso clinico e su uno studio della TAC
(Cone Beam).

La parte diagnostica radiografica pre-chirurgica è fondamentale e nel nostro studio, con appositi software, si riescono a programmare prima le dinamiche dell’intervento riducendone l’invasività.

I vantaggi dell’All on Six e dell’All on Four:
– Risparmio di tempo dell’intervento
– Minima invasività
– Possibilità di intervenire in un grande numero di casi
– Risultato eccellente e duraturo
– Risoluzione di problemi di masticazione
– Estetica e funzionalità

Rimani Aggiornato

Vuoi parlare con noi?