+39 0571 508853 info@filippomarianelli.it

Per la salute
della tua bocca

Endodonzia

L’ endodonzia è il settore dell’odontoiatria che si occupa della terapia dell’endodonto, ovvero la parte interna del dente o polpa, un tessuto costituito prevalentemente da vasi sanguigni e nervi che garantiscono nutrimento e sensibilità all’elemento dentario.

La polpa si estende dalla corona fino alla punta delle radici, dove essa si connette con il tessuto circostante, cioè con l’osso. Quando i tessuti che circondano la radice dentale si ammalano o sono danneggiate a causa di carie o traumi, il trattamento endodontico effettuato permette di salvare il dente.

Il trattamento endodontico, detto anche cura canalare o devitalizzazione, è necessario quando la polpa del dente si infiamma (pulpite) o quando va in necrosi.

L’ infiammazione può essere causata da una serie di cause: solitamente è dovuta ai batteri delle carie che arrivano a toccare la polpa.

La devitalizzazione viene effettuata con lo scopo di eliminare il dolore senza dover togliere il dente.

La devitalizzazione nella nostra clinica viene effettuata nel 90% dei casi in una solo seduta, mediante anestesia locale specifica. Non si sente alcun dolore.

Il processo di devitalizzazione prevede alcune fasi essenziali:

  • Svuotamento della corona e dei canali radicolari del dente attraverso l’asportazione del tessuto pulpare necrotico e sagomatura dei canali radicolari per renderli adatti a ricevere il materiale di otturazione.
  • Detersione e sterilizzazione canalare per evitare il diffondersi di batteri e tossine.
  • Riempimento permanente dei canali per mezzo del materiale di otturazione canalare e
    controllo radiografico del risultato.

Conseguenze a lungo termine
Di rado, una volta passato l’effetto dell’anestesia, si avverte una leggera sensazione di fastidio localizzato che, dopo pochi giorni, scompare. Per evitare tali disturbi si prescrivono analgesici e antinfiammatori.

Caso clinico di devitalizzazione non corretta

In questo caso possiamo osservare un caso di devitalizzazione non corretta; presso il nostro studio specializzato abbiamo proceduto con il ritrattamento endodontico.

Cos’è il ritrattamento endodontico?

il ritrattamento endodontico è una procedura che ha la finalità di:

  • sagomare, detergere e otturare le porzioni di dente eventualmente non trattate in prima battuta.
  • eliminare le cause che hanno portato al fallimento dell’endodonzia iniziale.

GUARDA IL VIDEO DEL CASO E LE DIAPOSITIVE

 

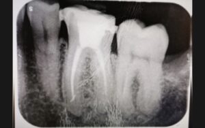
Caso clinico pulpite

In cosa consiste la devitalizzazione?

si tratta di eliminare il nervo da dentro il dente e otturare i canali con guttaperca e cemento biocompatibile.

In quali casi viene eseguita una devitalizzazione?

  • In presenza di carie o frattura che arriva alla camera pulpare.
  • In caso di infezione alla radice.
  • In caso di infezione periradicolare.
  • In caso di pulpite causata da una vecchia otturazione vicina al nervo e che fa diventare sintomatico il dente dopo anni.

questo è un caso di pulpite, denti multiradicolari devitalizzati nel nostro reparto specializzato.

GUARDA IL VIDEO DEL CASO E LE DIAPOSITIVE

 

Caso clinico Dottor Lorenzo Giusti

 

Rimani Aggiornato

Vuoi parlare con noi?

REPARTO DI ODONTOIATRIA

Clinica Leonardo
Via P. Grocco, 136 Sovigliana Vinci (FI)

Privacy policy
Cookie policy

 

© Filippo Marianelli

Design by ACTIVA